
Ağız kokusu hiç bir hastalığın ilk belirtisi değildir. Özellikle kanser, karaciğer, böbrek veya ülserin ilk belirtisi değildir. Son belirtilerinden bir tanesidir.
• Diş eti epitel hücresi ölmektedir (Tonzetich J, 1996)
• Fagositik hücrelerde oksijen üretimini artırmaktadır. (Yaegaki K.
1995)
• Hücre içinde pH azalmasına sebep olur
• Periodontal hücrelerin göç etmesine engel olur, (Lancero H,1996)(Johnson PW,1999)( Kapila YL, 1998)( Lancero H,1996)
• Fibronektin azalmasına sebep olur (Lancero H,2002)
• Dokunun protein içeriği %25-35 azalır. Bu etki kalıcıdır. Daha sonra doku temiz bir ortama alınsa bile hücre normale dönmez. (JohnsonPW, Ng W,1992) (Johnson P, Yaegaki K, 1996)
• Dokuda kollajen sentezi %40 azalmaktadır ve hücrenin içinde yeni sentez edilmiş kollajen varsa parçalanıp bozulmaktadır. Hücre dışındaki kollajen ise 13 kat azalmaktadır. (Johnson P, Yaegaki K, 1996).
•
Proline transportunu %40-50 oranında engeller. (Johnson PW, 1992)
(Johnson PW, 1992) (Bilgi: Proline isimli amino asit kollajen
sentezinde rol alır)
•
Proteoglikanların peptit zincirlerini koparabilir (Ng W,
Tonzetich J., 1984), (Johnson PW, 1985) (Johnson PW, 1992),
•
Tip III kollajen için mRNA sentezi transkripsiyonu engellenir.
(Johnson P, 1996),
•
Tip IV kollajen yapımını geciktirir,
•
Yara iyileşmesini geciktirir (Yaegaki K. 1995).
•
Diş eti fibroblastlarının DNA sentezinde %44.1 oranında azalmaya
sebep olur. (Johnson PW, Ng W,1992)
•
Fibroblastların apoptozuna (intihar etmesine) sebep olur.
(Yaegaki K, et al. 2008).
•
İnflamasyonu azdıran bir sitokin olan IL-1 in miktarını artırır.
Ortamda LPS var iken bu artış daha da fazla olur. (Ratkay LG, 1991).
•
Prostoglandin E (PGE) artışına sebep olmaktadır (Ratkay LG,, 1991)
•
Hücrelerin Ras sinyal aktarımını bozar, bu durumda hücrelerin
şekli değişir. (Maruta H,1999)
•
Hücreler daha yuvarlak, ve kısa olmaktadır, (Brunette DM, et al.,
1996),
•
Kemik rezorpsiyon işareti olan cAMP seviyesinde artış tespit
edilmiştir.
•
Katepsin-B enzimini artırmaktadır. (Ratkay LG,, 1991)
•
Periodontal hastalığa sebep olur (Yaegaki K, 1992)
•
Mukozasında geçirgenliğini %~60-105 oranında artırmaktadır.
(Ng W, Tonzetich J., 1984), LPS geçirgenliği 2-3 katı, prostoglandin
geçirgenliğini %66 oranında artmaktadır (Tonzetich J., 1996)
•
P. gingivalis ‘in ekstra selüler vezikül (kese) lerinin protein
sindirebilme özelliklerini artırmaktadır. (Tonzetich J., 1996)
•
Biraz spekülatif bir yaklaşım olarak, madem UKB, genel olarak DNA
hasarı yapıyor, permiabilite artırıyor, o halde neden ağızdaki H2S
kanser yapmasın diye bir hipotez literatürde mevcuttur. (Yaegaki K, 2008) Bu hipotezin devamı olarak şu önermeler yapılmıştır:
•
Cytochrome c oxidase enzimi mitekondriyumlarda solunum sırasında
kullanılan anahtar bir enzimdir. UKB, cytochrome c oxidase inhibisyonu
yapar böylece ATP üretimi azalır. (Dorman DC, 2002).
•
Fare deneyleri kalın bağırsakta birikebilecek H2S gazının
ülseratif kolit ve kolon kanseri ile ilişkili olduğunu göstermiştir.
(Roediger WE, 2993) (Pitcher MC, 1996).
Bu ilişkinin bir benzeri ağızdaki H2S ve ağız kanserleri arasında
kurulmak istenmektedir.
Ağız kokusunun kanser yaptığı kesin değildir.
Akla yatkın da değildir.
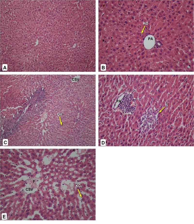
İnsandaki ağız kokusunun farelerdeki karşılığı kadar H2S gazı 50 gün boyunca farelere koklatıldı ve farelerin otopsileri yapıldı. (Yeler D, Aydın M, et al, 2017) Karaciğer hasarı A- intact hepatocellular tissue, B- portal area (PA) and Kupffer cells (KC).



🔘 Enteresandır ki, mukozaya %0.22 çinko klorit (ZnCl2) uygulandığında sadece kükürtlü gazlar kaybolmakla kalmaz ayni zamanda mukozanın geçirgenliği de normale döner. Ayrıca ZnCl2, hem bakteri vezikülleri tarafından hem de metil merkaptan tarafından tip I kollajen yıkımını engellemektedir (Tonzetich J, 1996).
🔘 Çinko sadece kokuyu engellemekle kalmaz ayni zamanda mukozanın geçirgenlik bariyerini de korur. (Johnson PW, Tonzetich J., 1985) (Johnson PW, 1992)
🔘 Üstelik P.gingivalis’in veziküllerini ve metil merkaptanın tip I kollajen üzerindeki yıkıcı etkisini de engellemektedir. (Tonzetich J, 1996) .
🔘 Çinko klorit sadece koku giderici değil ayni zamanda mukoza bariyerinin sağlam kalmasını sağlayan bir maddedir. Ayrıca iddia edilen ağız kokusunun kanser yapabileceği hipotezinin ilacı gibi görünmektedir. Ağız kokusunun olası sitemik zararlı etkilerinin görülme ihtimalini az da olsa sınırlama ihtimali var gibi görünmektedir.
Kanserli hastalarda ağız
kokusu
Ağız ve nefes kokusu ölçüm ve teşhis muayenehanesi
Hakkımda
bilgiler
Ağız kokusu buz testi
Ana sayfa